Heavy Ion Therapy: Preserving Voice, Restoring Hope in Laryngeal Cancer Patients
Heavy Ion Therapy: Preserving Voice, Restoring Hope in Laryngeal Cancer Patients
Laryngeal cancer accounts for approximately 1%-2% of all malignant tumors in the body, but it is the second most common respiratory cancer after lung cancer. It predominantly affects male smokers aged 40 to 70. Currently, early-stage laryngeal cancer has a cure rate of up to 80%-90%. Mid-stage laryngeal cancer is relatively more challenging to treat, with a lower 5-year survival rate of approximately 60%. Late-stage laryngeal cancer presents significant treatment difficulties, with a 5-year survival rate as low as about 30%, and is significantly more difficult to cure.
Heavy ion therapy for laryngeal tumors enables precise dose escalation while effectively protecting at-risk organs, minimizing both acute and chronic treatment-related side effects. It offers the advantages of improved local control rates and reduced toxicity.
Case 1:
In early 2023, amid the New Year celebrations, 81-year-old Grandpa Gao suddenly developed hoarseness. Initially, neither he nor his family paid much attention, assuming it was another bout of the "common cold" that would resolve with medication or injections. Unexpectedly, the hoarseness worsened rather than improved, gradually progressing to difficulty breathing and choking while eating or drinking. Alarmed, Grandpa Gao and his family rushed to the hospital. After undergoing laryngoscopy, CT scans, and a biopsy, he was diagnosed with laryngeal cancer. The tumor measured a significant 44×36 mm, narrowing the laryngopharyngeal cavity and invading tissues such as the thyroid cartilage. By then, his breathing difficulties had become severe—he could only breathe while sitting upright with his mouth open. To prevent suffocation, the hospital’s Head and Neck Surgery department performed an emergency tracheotomy and placed a laryngeal tube. Though this temporarily eased his breathing, the family now faced the daunting challenge of determining the next steps for treatment.


The family initially explored surgical intervention but learned it would require a total laryngectomy—an immense challenge for 81-year-old Grandpa Gao, who had a history of cerebral infarction. Post-surgery, he would lose his voice permanently, relying solely on gestures or writing to communicate. Potential complications included long-term dependence on a nasogastric tube for nutrition, susceptibility to lung infections from breathing through a metal tracheal tube, and choking during meals due to laryngeal nerve damage. These risks plunged Grandpa Gao into despair about continuing treatment.
Fortunately, through extensive consultations, the family discovered that heavy ion therapy could control his tumor with minimal side effects and without surgical trauma. They decisively chose treatment at the Heavy Ion Therapy Department for Head and Neck Tumors at Gansu Wuwei Tumor Hospital.
Upon arrival, the medical team crafted a 23-session heavy ion therapy plan for Grandpa Gao. After just 10 sessions, his hoarseness significantly improved. By the 16th session, the tracheal tube was successfully removed. Post-treatment MRI showed the tumor had completely resolved, with marked improvement in laryngeal narrowing—achieving complete remission (CR)!
Reflecting on his recovery, Grandpa Gao was deeply moved. He realized he had not only conquered laryngeal cancer but, more importantly, the remarkable efficacy of heavy ion therapy had restored not just his health but his hope and courage for life.


Case 2:
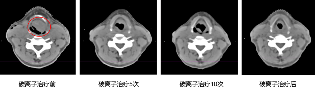
A 65-year-old male patient was diagnosed with Laryngeal Malignancy (supraglottic type, squamous cell carcinoma on the left epiglottic laryngeal surface, stage cT3N2cM0 IVA). His Karnofsky Performance Status (KPS) score was 80. Upon admission, the tumor obstructed the laryngeal cavity, causing the patient to breathe while sitting upright with his mouth open. He exhibited cyanosis, severe dyspnea, and aphonia due to laryngeal tumor compression of the ventricular space. The hospital immediately activated an emergency multidisciplinary green channel, and head and neck surgeons performed an overnight tracheotomy to relieve the acute symptoms. This was followed by heavy ion radiotherapy. After just 5 sessions of heavy ion therapy, the tumor shrank by approximately 80%. The laryngeal tube was successfully removed one week post-treatment.

Follow-up examinations confirmed Complete Remission (CR) of the tumor123.
Clinical Significance:
The larynx is vital for vocalization and respiration. While past treatments prioritized eradicating cancer, modern approaches emphasize preserving and restoring laryngeal function alongside curative goals. To date, our department has treated 13 cases of hypopharyngeal and laryngeal tumors, successfully preserving patients' swallowing and vocal functions in all cases126.
Department Profile:
The Department of Heavy Ion Therapy for Head and Neck Tumors (Radiotherapy Department V) at Gansu Wuwei Cancer Hospital specializes in treating solid tumors, including:
● Head and neck tumors
● Central nervous system tumors
● Lymphomas (across all anatomical sites)
Indications for Heavy Ion Therapy in Head, Neck, and Central Nervous System Tumors

Introduction to Wuwei Heavy Ion Center
The Wuwei Heavy Ion Center at Wuwei Medical Science Academy Cancer Hospital is China's first clinical application center for heavy ion therapy systems. Since its official launch in March 2020, the center has operated successfully for three years.
To date, we have treated over 910 patients from across the country, achieving remarkable therapeutic outcomes for complex lesions in critical areas such as the brain, pancreas, and lungs. Building on this three-year milestone, the center now pioneers China’s first Oncology Wellness Town—establishing a comprehensive, life-cycle health management system integrating:
● Integrated Cancer Therapy
● Dietary Therapy
● Psychosomatic Wellness Management
● Traditional Chinese Medicine (Pattern Differentiation-Based Therapy)
● Rehabilitation Physiotherapy
● Bio-Immunotherapy
● Horticultural Therapy
● Cultural Engagement Therapy

Introduction to the Department

Department of Heavy Ion Therapy for Head and Neck Tumors (Radiotherapy Department V) is a specialized medical unit integrating clinical practice, scientific research, and teaching.
Primary conditions treated: Meningioma, pituitary adenoma, acoustic neuroma, glioma, intracranial tumors, nasopharyngeal carcinoma, oral cancer, ocular tumors, laryngeal cancer, hard palate carcinoma, hypopharyngeal carcinoma, chordoma, and lymphomas (occurring in all anatomical locations).
Conditions with superior heavy ion outcomes: Head and neck malignant melanoma, head and neck sarcomas, adenoid cystic carcinoma, recurrent head and neck cancers, skull base chordoma, chondrosarcoma, glioma.
Contact: Consultation Hotline: 400-609-666 Li Xiaojun: +86 131 5016 0200
Address: Department of Heavy Ion Therapy for Head and Neck Tumors, Wuwei Heavy Ion Center, Gansu Wuwei Academy of Medical and Science, Wuwei, Gansu.