Carbon Ion Therapy for a Case of Locally Advanced Non-Small Cell Lung Cancer
Carbon Ion Therapy for a Case of Locally Advanced Non-Small Cell Lung Cancer
Patient XXX, male, 70 years old, presented with intermittent coughing and expectoration of white frothy sputum without blood streaks since December 6, 2023, with no apparent cause. The patient occasionally experienced dull pain in the left chest, with a pain score of 2, but no headache, dizziness, palpitations, or other discomforts. On December 16, 2023, a whole-body PET/CT scan at our hospital revealed: a soft tissue mass in the subpleural region of the left lower lobe with significantly increased metabolism. The mass was indistinct from the adjacent pleura and locally protruded into the 6th/7th intercostal space. The inner cortex of the left 7th rib was partially incomplete with increased metabolism, suggesting left lung cancer with invasion of the adjacent pleura and the left 7th rib, accompanied by obstructive inflammatory changes around the mass in the left lower lobe. Multiple lymph nodes in the mediastinum (2R, 4R, 8L) and the left hilum were partially fused with increased metabolism, all considered metastatic. On December 27, 2023, a CT-guided lung biopsy in our department revealed: (left lung lesion biopsy tissue) non-keratinizing squamous cell carcinoma. The definitive diagnosis was: non-keratinizing squamous cell carcinoma of the left lower lobe with mediastinal lymph node metastasis, cT4N3M0, Stage IIIC, with a KPS score of 80. After multidisciplinary consultation, carbon ion radiotherapy was administered to the left lung cancer with PTVp+nd dose DT48Gy (RBE)/12Fx, PTVpboost supplementary dose DT28Gy (RBE)/7Fx, and PTVndboost supplementary dose 12Gy (RBE)/3Fx, concurrently with 2 cycles of TP (albumin-bound paclitaxel + cisplatin) chemotherapy. After chemoradiotherapy, the patient's dull chest pain was relieved, and the post-radiotherapy efficacy was evaluated as PR. On March 6, 2024, the patient received immunotherapy with "Tislelizumab" and one cycle of TC chemotherapy, followed by one cycle of CIK cell immunotherapy (sequential therapy). On March 27, 2024, the patient received another cycle of "Tislelizumab" immunotherapy and "TC regimen" chemotherapy. Subsequently, the patient underwent maintenance immunotherapy with "Tislelizumab, once every three weeks" in the outpatient clinic until August 2024, when treatment was discontinued due to immune-related pneumonia.

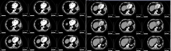
Chest CT on January 5, 2024 (before carbon ion therapy): Left lung tumor 8.6 × 6.0 × 6.0 cm

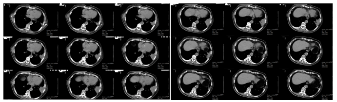
Chest CT on January 20, 2024 (during carbon ion therapy):Left lung tumor 8.0 × 4.6 × 5.3 cm

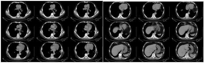
Chest CT on March 4, 2024 (1 month after carbon ion therapy): Left lung tumor 7.5 × 3.5 × 4.0 cm

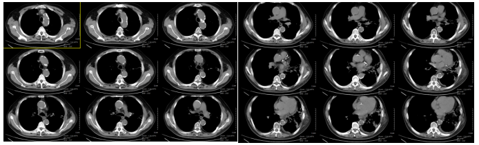
Chest CT on June 11, 2024 (4 months after carbon ion therapy):Left lung tumor 4.3 × 2.0 × 4.0 cm