Carbon ion radiotherapy for recurrent ameloblastoma: A case report
Carbon Ion Radiotherapy for Recurrent Ameloblastoma: A case report
Yihe Zhang1, Xiaojun Li2, Yanshan Zhang2 , Yancheng Ye1,
Xin Pan1, Tingchao Hu1, Weizuo Chen1, Hongyu Chai1,
Xin Wang1 and Yuling Yang1
Abstract:Ameloblastoma is a kind of benign, odontogenic tumor of epithelial origin, and surgery is mainstay treatment method; however, recurrence is common, and usually the treatment for recurrence is still surgery. We report on a patient of recurrent ameloblastoma treated with carbon ion radiation therapy and achieved a good efficacy. A 25-year-old female with relapse of an ameloblastoma was referred to the Wuwei Heavy Ion Center for carbon ion therapy. She had been initially diagnosed with ameloblastoma 8years ago and underwent operation of right mandible ameloblastoma. After she transferred to our center, she accepted a dose of 60GyE carbon ion radiation therapy, and the efficacy is good. Carbon ion radiation therapy can be an effective treatment option for ameloblastoma.
Keywords
Benign tumor, ameloblastoma, recurrence, carbon ion radiation, case report, radiotherapy, odontogenic tumors
Date received: 27 August 2021; accepted: 6 February 2022
Introduction
Ameloblastoma is a slowly growing benign tumor but locally invasive odontogenic tumors originating from dental lamina and affecting primarily the mandible or maxillary bones, and surgery is mainstay treatment method; however, recurrence is common, and the risk of recurrence is high, reaching from 50% up to 90%.[1]The treatment of recurrence is still surgery. There are six histopathologic subtypes of ameloblastoma that include the follicular, plexiform, acanthomatous, granular cell, basal cell, and desmoplastic types.[2] These subtypes can exist singly or in combination. Signs or symptoms are absent or minimal at the early stage. Surgery method is traditional and varies widely from conventional enucleation, curettage, or surgical excision to radical bone resection with 1 to 1.5 cm margins.[3]
Here, we present a case of recurrent ameloblastoma successfully treated with carbon ion radiation therapy (CIRT).
Case report
A 25-year-old female with recurrence of an ameloblastoma was referred to the Wuwei Heavy Ion Center (WWHIC) for carbon ion therapy. She had been initially diagnosed with ameloblastoma 8 years ago and underwent curettage of rigmandible ameloblastoma; postoperation pathology showed multicystic ameloblastoma, clear margin in 2012. In 2020, the patient had pain of right mandible; a mass was found on a magnetic resonance imaging (MRI) scan (Figure 1) in the same sitting at the right mandible, and the mass size is 4.7 cm×3.6 cm×2.7 cm—2months later, she came to our center with complaining of increasing pain and swelling in the right mandible. She was administered a small partly enucleation biopsy of the tumor, confirming the diagnosis of locally recurrent multicystic ameloblastoma. Maxillofacial surgeon recommended surgery to remove the tumor, faced with the inherent morbidity, artificial metal material implant and complex reconstruction, as well as facial aesthetics and cosmetic requirements, but the patient refused to undergo operation and wanted to treat with carbon ion radiotherapy. After multidisciplinary discussion, she received a dose of 60Gy (relative biological effectiveness (RBE)) carbon ions. The patient was immobilized in a supine position with a head and neck. A 3-mm-thick computed tomography (CT) image is obtained using a CT simulator. Target volume and organ-at-risk delineation was performed using CT-MRI image fusion. Gross tumor volume (GTV) consisted of macroscopic disease. Planning target volume (PTV) was defined as GTV plus a 5-mm margin. CIRT was performed with an anterior–posterior and a right lateral portal. The prescribed total dose was 60.0 Gy (RBE) in 12 fractions (Fx) with a fraction size of 6 GyE, administered five times per week, from Monday to Friday. Doses of carbon ions were expressed in photon equivalent doses (GyE), which were defined as the physical doses multiplied by the RBE of the carbon ions; the RBE of the carbon ions was assumed to be 3.0. [4,5]
CIRT planning was performed using the carbon ion Plan (ciPlan, version 1.0, Institute of Modern Physics (IMP), Lanzhou, China), including biologic plan optimization. Treatment planning included a biologic treatment plan optimization procedure using the carbon ion Treat Plan (ciTreat, version 1.0, IMP) treatment planning software system, which takes into account local values of the RBE calculated by the ciPlan software based on the mixed beam model[6]. Evaluation of efficacy was performed according to the RECSIT 1.1 ; CTCAE-V5.0 was used to evaluate adverse events[7]. Radiation Therapy Oncology Group (RTOG) acute radiation injury classification criteria were used to evaluate radiation damage.

Figure 1. Extensive ameloblastic carcinoma originating from the right mandible, T2 weighted MRI: (a) axial view, (b) sagittal view, and (c) coronal view.
Treatment outcome
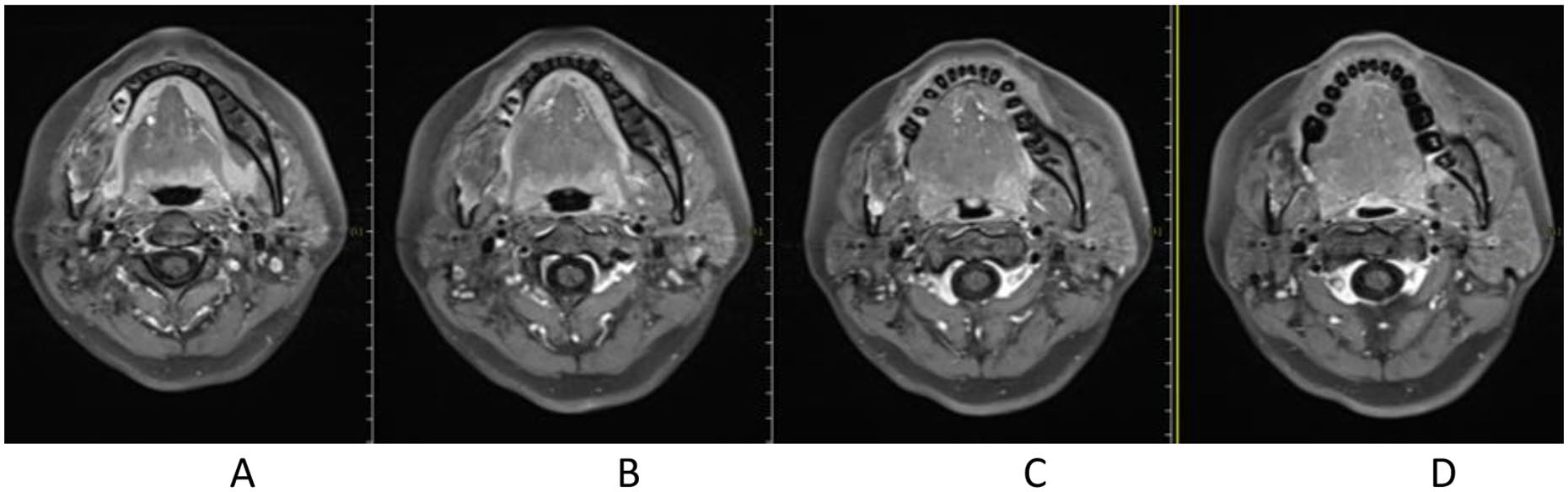
Treatment was tolerated well. During and after CIRT, there was only grade 2 skin (Figure 2) and oral mucosa acute adverse event, and no grade ⩾3 RTOG acute effect. During and after CIRT, her pain in the right mandible is continued but never aggravated, but painkiller is not needed; 6-month post completion of radiotherapy, she was in a very good clinical state, and the pain in the right mandible resolved completely. One to three months after CIRT, there were no significant changes of tumor size on MRI (Figures 3–6), just intensity of contract enhancement gradually diminished on contract-enhanced T1-weighted MRI; from 6months on, the size of the tumor decreased gradually (Figure 7); up to 16months after CIRT, it regressed to 3.6cm×3.2cm×1.7cm; and on 19months after CIRT, it regressed to 3.6cm×3.2cm×1.7cm, and the efficacy evaluation is PR (partial response) (Figures 8–10).
There were only grade Ⅰ hyperpigmentation and grade Ⅱ erythema over the right chin skin, and gradⅠ- Ⅱ mucous membrane reactions (mucositis CTCAE (Common Terminology Criteria Adverse Events) gradeⅠ- Ⅱ) at the right buccal mucosa; there were no any grade ⩾3 RTOG acute effect. No change of taste, dysphagia, odynophagia, xerostomia, or weight loss was observed. There were no other acute radiogenic reactions found.

Figure 2. Skin reaction: (a) 5 fx (total 12 fx), (b) after CIRT, (c) 10days after CIRT, (d) 1month after CIRT, and (e) 12months after CIRT.

Figure 3. Before CIRT (2020-04) different slices of Contrast-enhanced MR T1: A. Contrast-enhanced MR T1, B. Contrast-enhanced MRI, TWI1, C. Contrast-enhanced MR T1, D. Contrast-enhanced MR T1

Figure 4. After CIRT.

Figure 5. 1 month after CIRT.

Figure 6. 3 months after CIRT.

Figure 7. 6 months after CIRT.

Figure 8. 12 months after CIRT.

Figure 9. 16 months after CIRT.

Figure 10. 19 months after CIRT.
Written informed consent was obtained from the patient for publication of the present report. The tumor is continuously decreased up to 20 months after CIRT. The patient was very satisfied with the treatment up to 20 months after CIRT; there are no other treatment-related side effects.
Discussion
The main goals of ameloblastoma treatment are complete surgical removal of the jaw tumor and restoration of masticatory function and facial aesthetics[8].The recurrence rates for ameloblastoma are 15% to 25% after radical treatment and 55% to 90% after conservative treatment[9].Therefore, radical surgery has been regarded as the most effective treatment modality; however, it is associated with a higher incidence of complications, leading to patient invalidation, and needs sophisticated management to cosmetic and functional rehabilitation[10,11]. In addition to the potentially more aggressive form of growth, there are two major problems with recurrent ameloblastomas: the development of metastasis, termed as malignant ameloblastoma, and the transformation into an ameloblastic carcinoma, both with 2% possibility in recurrent ameloblastoma[12]. In clinical practice, decision making and the choice of the suitable treatment strategy are still challenging for both the doctor and patient.
Not surprisingly, until now ameloblastomas were considered as a kind of radiation-resistant tumors because the conventional methods did provide appreciable favor to patients. As ameloblastomas are rare and surgery is the primary modality of treatment, data reporting outcomes of RT remain sparse[13]. However, more recent reports suggest RT may favor postoperative patients who have locally recurred or those with microscopic residual tumor or macroscopic residual tumor resection. This may be partly due to improved therapeutic techniques[14–16]. Although radiotherapy can shrink the size of an ameloblastoma, usually that part of the tumor has expanded the jaw or broken into the soft tissues, it does not appear to be a suitable treatment for an operable ameloblastoma; so, in clinical practice, radiotherapy is mainly used in inoperable cases[17].
Conventional radiotherapy, like photon or proton, fractionation radiotherapy is based on the “four Rs”: repair, redistribution, reoxygenation, and repopulation. However, in the case of high LET (Linear energy transfer) beams, such as carbon ion, the repair of sublethal damage is not so obvious. To the best of our knowledge, cell cycle is one of the factors that affect the radiosensitivity of cells. Cancer cells have different sensitivities to radiation depending on their phase in the cell cycle. Inter-treatments with conventional radiation, some phases of the cells will cycle into a more sensitive phase, rendering them more sensitive to radiation damage. But high LET radiation shows most uniform effects irrespective of the cell cycle. The majority of low LET radiation damage to the DNA of cancer cells occurs through a free radical mechanism; this kind of damage is enhanced by oxygen. The existing oxygen also affects radiation damage from being repaired. Hence, existing hypoxic cancer cells have been a major cause of radioresistance in tumors. The time of inter-fractions allows additional perfusion of oxygen into areas of the tumor that existing hypoxic cancer cells, leading to an enhanced effect of radiation on the tumor. On the contrary, high LET radiation has more direct effects on the DNA and causes extensive double strand damage which is less influenced by the oxygen level. As a consequence, the advantages of fractionation are not so important in radiotherapy using high LET beams. Thus, the high LET carbon beams are associated with more DNA double strand breaks, are cell cycle nonspecific, have a low OER (oxygen enhancement ratio), and have low repopulation. In addition to these biological properties, the conformality of the carbon ion beam has enabled us to realize less fractionated or hypofractionated regimens[18–20]. After retrieved literature, we only found an article which reported a case of carbon ion therapy for ameloblastic carcinoma resulting in an excellent post-therapeutic outcome[21]; there were no other reports of CIRT for ameloblastoma.
WWHIC, located in Wuwei city, Gansu province, is the first Chinese homemade hospital-based heavy ion cancer therapy facility designed by the IMP of the Chinese Academy of Sciences (CAS) and manufactured by Lanzhou KejinTaiji (KjTj) Corporation Ltd. WWHIC initiated clinical application of carbon ions in Wuwei in November 2018. In 29 September 2019, the facility was approved by the National Medical Products Administration (NMPA) and registered as a medical device of class III. This high-end medical equipment is the first Carbon Ion Cancer Therapy Facility manufactured by China and is a hospital-based heavy ion treatment facilities for the treatment of malignant tumors. WWHIC is affiliated to Wuwei Cancer Hospital, and WWHIC has been officially licensed for clinical use on 1 April 2019[6] By 5 April 2021, WWHIC has completed CIRT for 303 patients.
Conclusion
We report one case of recurrent ameloblastoma treated with CIRT, and the treatment outcome suggests that CIRT is an effective treatment option; although the follow-up time is only 20 months, the result is encouraging and we will continue to follow up and update the result.
To our knowledge, this is the first case of ameloblastoma being treated with carbon ion therapy and resulted so far in an excellent post-therapeutic outcome. Therefore, radiotherapy with carbon ions can be considered in the definitive treatment of these rare tumors.
Acknowledgements
The authors acknowledge the immense help and support of the Department of Otorhinolaryngology and Pathology, Wuwei Cancer Hospital.
Declaration of conflicting interests
The author(s) declared no potential conflicts of interest with respect to the research, authorship, and/or publication of this article.
Funding
The author(s) disclosed receipt of the following financial support for the research, authorship, and/or publication of this article: This study was supported by the Key R&D Plan of Science and Technology Program of Gansu Province, China (No. 19YF3FH001).
Ethical approval
Ethical approval to report this case was obtained from Ethics Committee of the Wuwei Cancer Hospital (Approval Number/ID 2021-15).
Informed consent
Written informed consent was obtained from the patient for their anonymized information to be published in this article.
Yanshan Zhang https://orcid.org/0000-0003-4621-148X
References
1. Heikinheimo K, Kurppa KJ, Laiho A, et al. Early dental epithelial transcription factors distinguish ameloblastoma from keratocystic odontogenic tumor. J Dent Res 2015; 94(1): 101–111.
2. El-Naggar AKC, Chan JKC, Grandis JR, et al. WHO classification of head and neck tumours. 4th ed. Vol. 9. Lyon: IARC, 2017.
3. Kelppe J, Hagström J, Sorsa T, et al. Ameloblastoma: a retrospective single institute study of 34 subjects. Acta Odontol Scand 2019; 77: 82-87.
4. Li Q and Sihver L. Therapeutic techniques applied in the heavy-ion therapy at IMP. Nuclear Instrum Method Phys Res 2011; 269(7): 664-670.
5. Kanai T, Endo M, Minohara S, et al. Biophysical characteristics of HIMAC clinical irradiation system for heavy-ion radiation therapy. Int J Radiat Oncol Biol Phys 1999; 44: 201–210.
6. Li X, Zhang Y, Ye Y, et al. Carbon ion radiotherapy for recurrent calf myxoid liposarcoma: a case report. J Int Med Res 2021; 49(4): 3000605211009701.
7. Common Terminology Criteria for Adverse Events (CTCAE) Version 40, https://evs.nci.nih.gov/ftp1/CTCAE/CTCAE_ 4.03/CTCAE_4.03_2010-0614_QuickReference_5x7.pdf (accessed 9 September 2020).
8. Hresko A, Burtyn O, Pavlovskiy L, et al. Controversies in ameloblastoma management: evaluation of decision making, based on a retrospective analysis. Med Oral Patol Oral Cir Bucal 2021; 26(2): e181–e186.
9. Laborde A, Nicot R, Wojcik T, et al. Ameloblastoma of the jaws: management and recurrence rate. Eur Ann Otorhinolaryngol Head Neck Dis 2017; 134(1): 7-11.
10. McClary AC, West RB, McClary AC, et al. Ameloblastoma: a clinical review and trends in management. Eur Arch Otorhinolaryngol 2016; 273(7): 1649-1661.
11. Siar CH, Lau SH and Ng KH. Ameloblastoma of the jaws: a retrospective analysis of 340 cases in a Malaysian population. J Oral Maxillofac Surg 2012; 70(3): 608–615.
12. Kreppel M and Zöller J. Ameloblastoma—clinical, radiological, and therapeutic findings. Oral Dis 2018; 24(1–2): 63–66.
13. Sehdev MK, Huvos AG, Strong EW, et al. Proceedings: ameloblastoma of maxilla and mandible. Cancer 1974; 33: 324–333.
14. Atkinson CH, Harwood AR, Cummings BJ, et al. Ameloblastoma of the jaw. A reappraisal of the role of megavoltage irradiation. Cancer 1984; 53: 869–873.
15. Miyamoto CT, Brady LW, Markoe A, et al. Ameloblastoma of the jaw. Treatment with radiation therapy and a case report. Am J Clin Oncol 1991; 14: 225–230.
16. Pinsolle J, Michelet V, Coustal B, et al. Treatment of ameloblastoma of the jaws in Children. Arch Otolaryngol Head Neck Surg 1995; 121: 994–996.
17. Kennedy WR, Werning JW, Kaye FJ, et al. Treatment of ameloblastoma and ameloblastic carcinoma with radiotherapy. Eur Arch Otorhinolaryngol 2016; 273(10): 3293–3297.
18. Tsujii H, Kamada T, Shirai T, et al. Carbon-ion radiotherapy: principles, practices, and treatment planning. Tokyo, Japan: Springer, 2014, p. 14.
19. Tsujii H and Kamada T. A review of update clinical results of carbon ion radiotherapy. Jpn J Clin Oncol 2012; 42(8): 670–685.
20. El Shafie RA, Habermehl D, Rieken S, et al. In vitro evaluation of photon and raster-scanned carbon ion radiotherapy in combination with gemcitabine in pancreatic cancer cell lines. J Radiat Res 2013; 54: i113–i119.
21. Jensen AD, Ecker S, Ellerbrock M, et al. Carbon ion therapy for ameloblastic carcinoma. Radiat Oncol 2011;