Is Enucleation Always Necessary for Radical Treatment of Orbital Malignancies?
To the Core with Carbon Ions——Is Enucleation Always Necessary for Radical Treatment of Orbital Malignancies?

Lu Jing
Chief Physician
Department of Radiotherapy, Lanzhou Branch (Lanzhou Heavy Ion Center)
Gansu Wuwei Cancer Hospital
In May 2022, Ms. Xu noticed a growing mass in her right orbital cavity that caused eye discomfort, frequent tearing, and sharp, sudden pains, which she described as "no joke." The tumor, located in the anteroinferior orbit, was palpable through the eyelid. Recognizing the severity, she consulted a renowned ophthalmology specialist in Shanghai. Imaging revealed a right lacrimal sac mass invading adjacent critical structures, with the eyeball visibly displaced due to compression.
An endoscopic biopsy of the right lacrimal sac lesion was performed, with pathology confirming moderately-to-poorly differentiated squamous cell carcinoma. Surgical resection was recommended, but the complexity of orbital surgery—given the confined space, dense concentration of vital structures, and narrow operative field—carried high risks of complications. For Ms. Xu, who valued her appearance deeply, this was devastating.
Seeking alternatives, she and her family consulted multiple hospitals and independently researched treatment options. They discovered carbon ion radiotherapy (CIRT), an advanced modality lauded for its precision, high efficacy, low recurrence rates, and organ-preserving benefits that enhance both survival and quality of life. In July 2022, they traveled with hope to the Heavy Ion Therapy Center at Gansu Wuwei Cancer Hospital for evaluation.

Director Li Xiaojun of the Heavy Ion Therapy Group in President Wang Junjie's teams consulted Ms. Xu. After examining the patient’s condition and completing relevant examinations, it was found that there was a mass in the right orbit, measuring approximately 3cm × 4cm. The mass was hard, with poor mobility and unclear boundaries. The lower inner two-thirds of the bulbar conjunctiva was prominently bulging. When the eyelid was closed, the inner one-third of the conjunctiva was exposed. The surface was slightly uneven, covered with a small amount of grayish-white secretion, and eye movement in all directions was already restricted to varying degrees.
On July 9, 2022, an orbital MRI showed:
- A space-occupying lesion in the right lacrimal sac area, invading the eyeball, extraocular muscles, and nasolacrimal duct.
- The eyeball was compressed and slightly displaced upward.
- Local bone destruction was observed in the medial wall, floor of the right orbit, ethmoid sinus, and maxillary sinus.
- The mass locally protruded into the ethmoid sinus and nasal cavity.
With years of clinical experience and superb heavy ion therapy technology, Director Li Xiaojun developed an individualized heavy ion therapy treatment plan for the patient. On July 20, 2022, the patient underwent carbon ion radiotherapy (uniform scanning). Because the tumor was adjacent to important organs such as the eyeball and optic nerve, a two-stage treatment plan was designed to further increase the radiation dose to the tumor area and reduce the dose to critical organs.
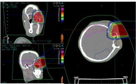
The first-stage plan treated the tumor and subclinical areas. The patient was positioned in the lateral decubitus position, and two horizontal fields were irradiated at couch angles of 0° and 325°.
The second-stage plan targeted the residual tumor area. The patient was positioned in the supine position, and a vertical field was used for irradiation to protect the eyeball.
During the treatment period, only Grade 1 radiation-induced conjunctival injury occurred, and no late adverse reactions grade 2 or higher were observed.

Figure 1: Case 1 – Dose Distribution Map of Carbon Ion Therapy for a Patient with Lacrimal Sac Squamous Cell Carcinoma (First Course)

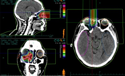
Figure 1: Case 1 – Dose Distribution Map of Carbon Ion Therapy for a Patient with Lacrimal Sac Squamous Cell Carcinoma (Second Course)

Note A: MRI examination before carbon ion therapy showed: a mass occupying the right lacrimal sac area, invading the eyeball, medial rectus muscle, inferior rectus muscle, and right nasolacrimal duct. The eyeball was compressed and slightly displaced upward; the red circle indicates the range of tumor invasion.B: MRI examination after carbon ion therapy showed complete disappearance of the lesion, with the treatment effect evaluated as complete remission.C: Clinical signs before carbon ion therapy; D: Changes in clinical signs after carbon ion therapy.
Figure 2: Comparison of MRI and Clinical Signs Before and After Carbon Ion Therapy for a Patient with Lacrimal Sac Squamous Cell Carcinoma (Case 1)
Traditional Approaches to Ocular Tumors
Conventional treatment modalities for ocular tumors include tumor resection, enucleation, and evisceration, with the extent of resection determined by tumor size, location, and depth. Eye-sparing surgery (ESS) has become the primary treatment for nearly all types of epithelial or stromal tumors. However, achieving adequate margins remains challenging, particularly in locally advanced cases, where incomplete resection carries a high risk of recurrence.
The Need for Advanced Treatment
Orbital malignancies typically require a multidisciplinary approach. Intensity-modulated radiation therapy (IMRT) has been used postoperatively or as definitive treatment for unresectable cases. However, radiation-induced toxicity limits tumor dose coverage due to excessive entrance and exit doses along beam paths, resulting in suboptimal tumor control and excessive dose to surrounding normal tissues. Conventional radiation doses often prove insufficient for malignant tumor control, necessitating more effective therapies that improve local control and survival while better preserving adjacent critical structures.
Clinical Application of Carbon Ion Therapy
The carbon ion therapy system at Gansu Wuwei Cancer Hospital was officially commissioned in March 2020. Over four years of clinical experience have demonstrated that carbon ion radiotherapy achieves excellent therapeutic outcomes for unresectable, residual, or recurrent orbital malignancies while significantly improving ocular preservation rates.
Conclusion
With heavy ion therapy as a national strategic medical asset, radical treatment of orbital malignancies can now achieve both tumor control and ocular preservation. This approach demonstrates remarkable efficacy while effectively preventing facial disfigurement and vision impairment, representing a transformative advancement in orbital oncology.
Professor Junjie Wang's Clinical Research Team
Lanzhou Heavy Ion Center

Wang Junjie
Chief Physician, Professor
Currently serves as Director of the Department of Radiation Oncology at Peking University Third Hospital, Doctoral Supervisor, Director of the Brachytherapy Center at Peking University Health Science Center, and Deputy Director of the Department of Radiation Oncology at Peking University
Chairman of the 10th Committee of the Society of Radiation Oncology, Chinese Medical Association
Inaugural Chairman of the Brachytherapy and Intelligent Radiotherapy Society of the Chinese Nuclear Society
Vice Chairman of the Minimally Invasive Therapy Committee of the Chinese Anti-Cancer Association
Chairman of the Radioactive Particle Ablation Technology Committee of the National Strategic Alliance for Technological Innovation in Tumor Minimally Invasive Therapy Industry
Associate Editor-in-Chief of the Chinese Journal of Radiological Medicine and Protection
Editorial Board Member of the American journal Brachytherapy

Li Xiaojun
Chief Physician, Vice President
Currently serving as Assistant Dean of Gansu Province Wuwei Cancer Hospital and Vice President of Lanzhou Proton and Heavy Ion Hospital
Gansu Province Longyuan Youth Talent, Gansu Province Health Industry Outstanding Youth Talent
Heir of Traditional Chinese Medicine (TCM) at Gansu Provincial Health Commission
Visited the RPTC Proton Center in Munich, Germany; studied at the Shanghai Proton and Heavy Ion Hospital, Beijing Cancer Hospital, Sichuan Cancer Hospital, and the Varian Training Center in the USA
Specializes in radiation therapy for tumors of the central nervous system, head and neck, chest, abdominal and pelvic regions, and extremities
Awarded the Second Prize of Gansu Provincial Science and Technology Progress and multiple science and technology progress awards in Wuwei City
Led and participated in over 10 provincial and municipal research projects, including major provincial science and technology special projects and key talent programs of the Provincial Party Committee Organization Departmen
Published 7 SCI papers as the first/corresponding author and over 30 papers in domestic core journals; holds 10+ invention and utility model patents for radiation therapy
Clinic Schedule: Monday to Friday, 5th Floor of the Inpatient Department, Lanzhou Campus

tt