【世界心梗日科普】心梗拨打120,胸痛中心快救命
中国心梗救治日
2025年11月20日是第12个中国心梗救治日,今年的主题为“心梗拨打120,胸痛中心快救命”。“1120”寓意有两个:一是“有胸痛,我要拨打120”,二是“心梗救治,争取黄金120分钟”。心梗,如同隐藏在身体里的“定时炸弹”,随时可能威胁我们的生命健康。在这个特别的日子里,让我们一同深入了解心梗,掌握护理要点,为守护心脏健康贡献力量。
说起“心梗”“猝死”,很多数人会觉得离自己很远,但当新闻频频报道,看到许多名人因此离世,这个“意外”难免触动我们的心弦,在我们耳边敲响警钟。
如此凶险的疾病,大家对其认识往往还是不足,误以为离我们很远,是老年人才会罹患的疾病。但从这些新闻中我们发现,心梗并不仅发病于老年人,以心肌梗死为代表的心脑血管疾病,已经成为了威胁到当今人民生命健康的第一杀手。每个人都需要了解心梗的常识,守护自己和家人的健康。

急性心肌梗死是什么病?
冠状动脉是供应心脏血液的血管。胆固醇等脂肪物质附着在冠状动脉壁上形成斑块,会使管腔变窄甚至形成血栓并且堵塞,血流急剧减少甚至中断,使相应心肌严重而持久地缺血而导致坏死。这就叫做急性心肌梗死。发生坏死的心肌失去了收缩功能直接影响到心脏的正常工作。
哪些人容易罹患急性心肌梗死?
容易罹患心肌梗死的人群包括高血压、抽烟、糖尿病、缺乏运动、肥胖症、高胆固醇血症、营养不良、摄取过量酒精等。
急性心肌梗死发病的诱因都有哪些?
情绪激动,身体过于劳累,暴饮暴食、饱餐,感染,手术等易诱发此病,有时甚至可能在睡眠中发病。
急性心肌梗死发病时有哪些表现?
典型疼痛:剧烈而较持久的胸骨后疼痛,多为闷痛或绞痛,可伴压榨感及濒死感,可向左肩、背放射。也可以向左臂、左手小指、咽部、牙部放射。含硝酸甘油无效。不典型疼痛:有些病人可出现不典型疼痛,如:牙痛、下颌痛、嗓子痛、上腹痛,也有病人发作时无疼痛。可引发心律失常、心力衰竭、心源性休克,甚至猝死。

急性心肌梗死发病规律
“一年之中冬季多发”:天气寒冷小血管收缩、血压升高,心率加快。血液黏度增高易于形成动脉血栓,堵塞冠状动脉,造成心肌梗死。春秋季由于气候多变,血管适应能力差也容易发生心肌梗死。“一天之中上午多发”:上午引起血管紧张性增高的物质增多,使冠状动脉收缩、心肌供血量降低;这些物质使心跳加快、心肌耗氧量增加。一面是心肌需氧增加;一面供氧减少,造成心肌梗死可能性就大些。
警惕:易被误诊或漏诊的心肌梗死
在日常生活中,有几种急性心肌梗死患者并不表现为胸骨后或心前区急性而剧烈的疼痛,易被误诊或漏诊。
●消化道症状:有约30%的急性心肌梗死患者出现消化道症状,表现为腹部胀气、呃逆、腹痛、恶心、呕吐、腹泻等,主要是因为心脏病变刺激迷走神经,或病变在心脏下壁,引起胃肠道反应所致。易被误诊为消化不良、急性胃肠炎。
●呼吸道症状:有的急性心肌梗死患者只感觉胸闷、憋气,或自认为气不够用,主要是由于急性心肌梗死发作时,心肌收缩力下降、心排血量下降,造成肺部淤血,易被误诊为肺或气管疾患。
●神经精神症状:有的急性心肌梗死患者表现为突然言语不清、一侧肢体瘫痪、意识不清、抽搐,主要是因为急性心肌梗死发作时,心排血量急剧下降,导致脑供血不足,尤其是原有脑动脉硬化的老年人,更易发生脑循环障碍。易被误诊为脑血管疾病。
急性心肌梗死发病时怎么办?
心梗发生后,时间就是生命,正确的急救护理措施至关重要。
尽快识别症状
心梗时,除了典型的胸痛外,还常会因为心脏缺血,引发其他部位的疼痛,如牙痛、肩膀痛、后背痛等,所以一定不能以“剧烈胸痛”作为唯一判断标准,一旦出现不明原因的身体疼痛,尽快拨打120就医!
尽快拨打120
“120”可以提供科学的急救指导,急救人员能在途中通过电话指导患者进行一些简单的自救措施,同时尽快到达现场提供专业的急救服务。千万不要自行前往或由家人送往医院,以免在途中发生意外。
心肺复苏
如果患者出现意识丧失、呼吸停止等严重情况,应立即进行心肺复苏术。心肺复苏包括胸外按压和人工呼吸等,胸外按压的频率应为每分钟100-120次,按压深度为5-6厘米,人工呼吸每次吹气时间应持续1秒以上,确保患者能够获得足够的氧气供应,以维持血液循环和氧气供应。
尽快就近入院
时间就是生命,“120”会就近送往胸痛中心,胸痛中心能够提供快速且准确的治疗,节省救治时间,减少心脏损伤,一味追求“大医院”可能耽误时间!
急性心肌梗死主要救治方法是什么?
急诊介入治疗,急诊外科搭桥,急诊溶栓,其中目前急性心肌梗死主流治疗方式为急诊介入治疗。


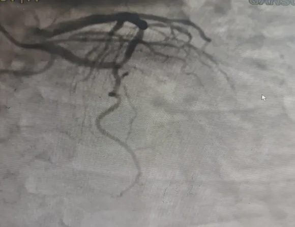
近日我科成功救治的急性心肌梗死患者,男,48岁,主因“突发胸痛4小时”由120送至我院。绕行急诊和CCU第一时间到达导管室。在救护车上给与胸痛一包药和普通肝素。既往无高血压,糖尿病史,无吸烟史。家族史正常。成功开通闭塞回旋支后患者症状改善,心功能恢复。


患者冠脉造影检查,术前术后图
我院心血管内科高生云主任介绍:急性心肌梗死是危及生命的急症,急性心肌梗死的治疗是争分夺秒的,目前不少医院已经建立胸痛中心绿色通道,力求在最短的时间内对患者进行治疗。心肌梗死预防关键要从日常生活开始。
心血管内科治疗技术
科室开展了先进技术,其中冠脉组常规开展急诊及择期冠状动脉造影及冠脉球囊扩张术、冠脉内溶栓、血栓抽吸术及支架植入术,以及复杂冠脉慢性闭塞病变(CTO)的介入治疗,术中可行血管内超声、FFR等检查;电生理方向现可开展永久单、双腔起搏器植入、CRT/CRT-D植入、ICD植入以及阵发性室上性心动过速、室早、室速、房速、房扑、房颤等心律失常疾病的心内电生理检查、射频消融术、左心耳封堵术。在心衰以及高血压方向也与时俱进,积极开展科内业务学习,以新的指南以及专家共识为基石,带给患者最新、最合理的治疗方案。

高生云主任
擅长:心血管内科常见病及疑难病的诊断和治疗。现致力于冠心病、心律失常的诊断、鉴别诊断、药物和介入治疗。曾在兰州大学附属第一医院,西京医院进修学习,并获得国家级心血管疾病介入资质,能熟练独立完成冠脉介入术、冠脉复杂病变,永久起搏器植入术,射频消融术等。
坐诊地点:中心院区门诊220诊室