How to Conduct Comprehensive Early Cancer Screening?
How to Conduct Comprehensive Early Cancer Screening?
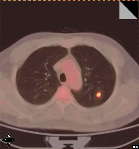
Early cancer screening can involve options like PET-CT.
PET can detect diseases by identifying abnormal functional metabolism in lesions, but it may not provide the precise anatomical location of some abnormalities. In other words, it can indicate the presence of a disease but not always exactly where the lesion is located.
CT can accurately describe the morphology, size, and location of lesions. However, it can only detect the disease once it has progressed to the stage of causing "morphological changes," which often means diagnosis occurs at a later stage. Essentially, it tells you where the lesion is, but sometimes that is already too late.

Thus, the powerful combination of PET and CT led to the development of PET-CT, which integrates the strengths of both "parents" and plays a significant role in the early diagnosis of tumors. Early diagnosis and treatment are key to nipping cancer in the bud. In the era of precision medicine, disease diagnosis and treatment rely not only on histomorphology and pathology but also increasingly on the molecular level. PET-CT excels in this regard. Its precision allows for the detection of minuscule tumors and can probe the molecular level, reflecting the metabolic and functional status of diseased tissues, making it an indispensable tool in the age of precision medicine.

The PET-CT Center at Gansu Wuwei Medical Science Academy Cancer Hospital has introduced the American GE Discovery 710 Clarity super iterative PET-CT, which is one of the most advanced domestically available systems featuring a 256-ring LBS crystal PET/128-slice spiral CT. This equipment is the fourth of its kind in Gansu Province and the only PET-CT unit in a prefecture-level city hospital within the province. It is a super iterative device launched by GE Healthcare that leads current global trends, offering higher sensitivity and specificity compared to ordinary PET/CT systems. Its unique high spatial resolution of 1.8 mm can greatly enhance the detection capability for minute lesions, while simultaneously significantly reducing the scan time for full-body examinations, lowering the radiation dose received by patients, and yielding ideal diagnostic results. It is hailed as the "crown jewel of modern high-tech medicine." The center boasts first-class radiopharmaceutical laboratories and is equipped with a medical cyclotron system capable of producing various specialized tracers (using isotopes like ¹¹C, ¹³N, ¹⁸F) required for diagnosing different diseases. The purity of the produced pharmaceuticals exceeds national standards and meets world-class levels, ensuring precise diagnosis for patients. This makes our PET-CT center the only one in Gansu Province capable of conducting both ¹¹C and ¹⁸F imaging simultaneously.
Contact Us
Consultation Phone: Director Li Ke (13689357660)
Medical Address: PET-CT Center, Gansu Wuwei Cancer Hospital