[Classic Case from Chemotherapy Department] Treatment of an Advanced Gastric Cancer Patient
[Classic Case from Chemotherapy Department] Treatment of an Advanced Gastric Cancer Patient
Latest statistics show that gastric cancer has a relatively high global incidence rate, ranking 5th among malignant tumors. In China, its incidence and mortality rates rank 3rd among malignant tumors, significantly higher than the world average. Most patients are often diagnosed at an intermediate or advanced stage, with short survival times and poor prognosis. However, some patients achieve long-term survival through standardized treatment.
Case Sharing
Mr. Dong presented in November 2017 at a sister hospital in our city with "intermittent upper abdominal distension and pain, loss of appetite, fatigue, and melena." Electronic gastroscopy + pathological biopsy indicated gastric body adenocarcinoma.
After multiple consultations, the patient came to our hospital's Chemotherapy Department. Further examinations diagnosed Gastric Cancer (ulcerative infiltrative type), with multiple metastases to the abdominal lymph nodes (largest 5.3×2.3cm) and multiple liver metastases (largest 3.3×3.8cm). Chief Physician Wang Huijuan, Director of the department, comprehensively assessed the patient's condition. As surgical intervention was not an option, an individualized treatment plan was formulated. The symptoms like upper abdominal distension and pain disappeared after the first cycle of chemotherapy. Efficacy evaluation after 2 cycles showed PR (Partial Response), with slight thickening of the gastric body and antrum wall, and shrinkage of lymph nodes in the hepatogastric space and liver metastases. The patient experienced severe bone marrow suppression after chemotherapy. The chemotherapy regimen was subsequently progressively adjusted. Efficacy evaluations after 4 and 6 cycles showed SD (Stable Disease). Thereafter, intermittent single-agent maintenance chemotherapy with "Capecitabine" was administered for over a year, with no significant adverse reactions observed. Efficacy evaluation on April 10, 2019, showed CR (Complete Response, with disappearance of liver metastases and no obvious cancerous lesions found on gastroscopy).
The patient subsequently returned for re-examinations every six months until February 23, 2023. The condition remained stable, with no evidence of neoplastic lesions. The patient's mental state is good, and daily farm work is unaffected, bringing new hope to the family.
Treatment Course









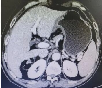
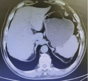
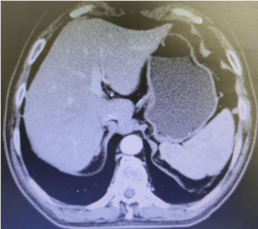
Abdominal CT films from August 13, 2019 (2 images)


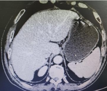
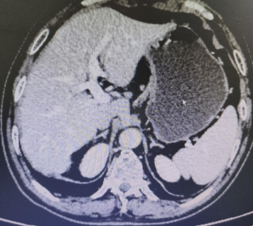
Abdominal CT films from March 3, 2020 (2 images)



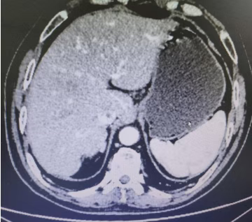
Abdominal CT films from February 23, 2023 (2 images)
This patient with advanced gastric cancer, through standardized chemotherapy, good compliance, and an optimistic mindset, has achieved a survival period of over 5 years. Currently, the patient's physical condition is good, having reached clinical cure for the tumor, far exceeding the expectations of both doctors and the patient.
According to the latest 2020 statistics (Gastric Cancer, GC), the global incidence of gastric cancer ranks 5th among malignant tumors, with 1.089 million new cases. Its mortality rate ranks 4th, with 769,000 new deaths. In China in 2020, its incidence ranked 3rd among malignant tumors, with 479,000 new cases and 374,000 deaths. The mortality rate ranks 3rd, at 15.9/100,000, significantly higher than the world average. Furthermore, gastric cancer is often at an intermediate or advanced stage when symptomatic patients seek medical attention.
The occurrence of gastric cancer is caused by a combination of various factors. The most common causes include Helicobacter pylori infection; lifestyle factors such as high consumption of grilled and charred animal meat, high salt intake, salted or smoked foods, as well as smoking and alcohol consumption; precancerous conditions and lesions; genetic factors; and environmental and dietary factors.
Most early-stage gastric cancer patients are asymptomatic. A minority may experience mild discomfort such as fullness, indigestion, etc., which is easily overlooked. Advanced gastric cancer can present with symptoms like upper abdominal pain, weight loss, anemia, fatigue, loss of appetite, emaciation, or gastrointestinal bleeding. In the terminal stage of the disease, patients may exhibit severe wasting, described as a cachectic state or cachexia. Pathological diagnosis via biopsy obtained endoscopically is the gold standard for diagnosis.
Treatment Methods: Surgery is the only potential curative method for gastric cancer patients. Early-stage patients can often be cured post-operatively. For advanced patients, comprehensive treatment based on the pathological type and clinical stage is used, primarily involving surgery, combined with perioperative chemotherapy, radiotherapy, targeted therapy, and immune checkpoint inhibitor therapy, aiming to prolong patient survival and improve quality of life.
The main route of metastasis for gastric cancer is lymphatic spread; 70% of advanced gastric cancer cases have lymph node metastasis. Additionally, hematogenous metastasis occurs, most commonly to the liver. When peritoneal implantation metastasis occurs, patients often present with significant ascites.
Prognosis: The prognosis of gastric cancer is closely related to its stage. Early-stage gastric cancer patients have a high cure rate. However, most gastric cancers are discovered at an advanced stage or with distant metastasis. The prognosis for advanced patients is poor, with a 5-year survival rate of less than 10%.
We hope more people will understand relevant knowledge about cancer, develop good living and dietary habits, avoid staying up late and alcohol consumption, usually control the intake of red meat such as beef, mutton, and pork, replacing it with white meat like chicken, duck, and fish, while limiting the intake of pickled foods and salt, avoiding overnight foods, and trying to eat relatively fresh food, etc. Focus on prevention, undergo regular check-ups, and achieve early detection, early diagnosis, and early treatment, spending every day with a healthy physique!
Introduction to the Chemotherapy Department
The Chemotherapy Department of Gansu Wuwei Cancer Hospital was established in February 2009. It currently has 46 beds. Under the leadership of Director Wang Huijuan, Chief Physician, the department currently has 7 doctors: 1 Chief Physician, 1 Associate Chief Physician, plus 2 senior attending physicians, and 3 resident physicians. The department long-term invite Vice President Zhao Da, Chief Oncology Physician of the First Hospital of Lanzhou University, as our external expert, who conducts regular ward rounds and exchanges. The entire department admits and treats over 1,200 chemotherapy patients annually, making it the largest and most standardized medical oncology department in the Hexi region. In 2013, it became one of the first batch of "Standardized Demonstration Wards for Cancer Pain" designated by the Gansu Provincial Health Department. In 2017, the team sent by the department won first prize in the "Gansu Provincial Cancer Pain Standardized Treatment Skills Competition." In 2017, it became a "Member Unit of the Gansu Provincial Lung Cancer Prevention and Control Alliance." In 2018, it became a "Member Unit of the Lanzhou University Comprehensive Cancer Treatment Specialist Alliance." The team sent by the department won third prize in the "2019 Gansu Provincial Lung Cancer MDT Competition." In 2021, it was rated as a "Key Discipline of Wuwei City." In July 2022, it became a "Sub-center of the Gansu Provincial Clinical Research Center for Thoracic Tumors." Currently available technologies include: diagnosis of various solid tumors and lymphomas, neoadjuvant chemotherapy, postoperative adjuvant chemotherapy, palliative chemotherapy, local drug perfusion chemotherapy, endocrine therapy, molecular targeted therapy for tumors, tumor immune checkpoint inhibitor therapy, and cellular immunotherapy such as CIK and NK. The department leads and participates in multiple drug clinical trials, with well-completed trial implementations, bringing good news to patients.

Contact Us
Consultation Phone: 0935-6988068, 0935-6988063
Medical Address: Chemotherapy Department, Wuwei Medical Science Academy Heavy Ion Hospital (2nd Floor, Rehabilitation Building)