"Carbon" Ignites Hope, "Adenoid" Lights the Path
Exploring Carbon Ion Therapy Technology at Lanzhou Heavy Ion Center:
1. What is Adenoid Cystic Carcinoma (ACC)?
Adenoid cystic carcinoma (ACC) commonly occurs in the minor salivary glands of the oral cavity (such as the oral mucosa: tongue, soft palate, hard palate, cheek, floor of the mouth, etc.) and major salivary glands (parotid, sublingual, and submandibular glands). It can also develop in the lacrimal gland, external auditory canal, maxillary sinus, nasal cavity, sinus mucosa, respiratory tract, and digestive tract.
One of the growth characteristics of ACC is perineural invasion, where tumor cells infiltrate surrounding nerves at an early stage, often affecting the trigeminal nerve, facial nerve, and others. Complete surgical removal of tumor-infiltrated cranial nerve foramina is often impossible, and approximately 15% of patients have unresectable lesions.
In clinical practice, we frequently encounter patients with complex head and neck ACC lesions that involve multiple substructures, such as encasing the eyeball, compressing the visual pathway, or eroding cranial nerve foramina. Many patients arrive with blindness, restricted eye movement, masticatory muscle invasion, difficulty eating, and limited mouth opening. Surgical resection is either impossible or only feasible as debulking surgery, but postoperative recurrence along nerve pathways and "skip metastasis" are common.
2. A Patient’s Journey: A Successful Case of Maxillary Sinus ACC Treatment
Background Story
Mr. Xue was diagnosed with right maxillary sinus adenoid cystic carcinoma in 2019. The tumor extended through the inferior orbital fissure into the orbit, invading the optic nerve. Multiple hospitals recommended radical surgery involving enucleation of the eye.
Challenges Faced
1. Preserving the Optic Nerve:The complex anatomy of the head and neck, combined with tumor proximity to the right optic nerve (partial invasion), made complete nerve preservation impossible.
2. Sparing the Eyeball:The tumor was close to the posterior part of the eyeball, requiring surgical enucleation. Carbon ion therapy needed to spare the eyeball while ensuring tumor control.
3. Protecting the Skin:Some tumor portions were near the skin, requiring high-dose irradiation while minimizing skin toxicity.
Solutions from the Medical Team
Fabrication of Immobilization Devices for Heavy Ion Therapy

Surface Markers (for Radiotherapy)

Localization CT Scan

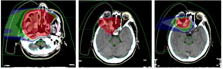
Heavy Ion Radiotherapy Target Field Orientation and Dose Distribution

Therapeutic Outcomes
Throughout the treatment course, the tumor located at the inferotemporal region with orbital invasion demonstrated rapid shrinkage. The patient who presented with right eye blindness at admission quickly regained light perception post-treatment. By treatment completion, the tumor had reduced by approximately 70%, achieving Partial Response (PR) efficacy.
Treatment Efficacy Evaluation



Another characteristic of adenoid cystic carcinoma (ACC) is its resistance to radiotherapy and chemotherapy, which easily leads to local recurrence and distant metastasis, making treatment difficult. As a precise tumor treatment method, heavy ions can accurately irradiate the tumor site with extremely high precision and strong penetration ability, ensuring that tumors of different depths and sizes are precisely enveloped within the Bragg peak region. Heavy ions exhibit a higher relative biological effectiveness (RBE) against ACC, which is not sensitive to conventional photon therapy, thereby enhancing the lethality to the tumor. In the radiotherapy of head and neck ACC, heavy ion radiotherapy can provide a more precise dose distribution, promoting high-dose irradiation of the tumor volume while protecting the surrounding normal tissues. In recent years, we have treated ACC patients in various head and neck regions, such as the base of the tongue, hard palate, lacrimal gland, maxillary sinus, etc., all achieving satisfactory results while protecting normal organs.
To date, head and neck adenoid cystic carcinoma has become the third major disease treated with carbon ion therapy in our department. Carbon ion radiotherapy is a treatment method with good efficacy and low toxic side effects, suitable for patients with unresectable, postoperative residual, radiotherapy-resistant, or recurrent head and neck adenoid cystic carcinoma. A prospective Phase III trial comparing conventional photon radiotherapy and heavy ion radiotherapy for ACC found that the 10-year local control (LC) rate for heavy ion therapy was 56%, compared to 17% for conventional photon radiotherapy. In a retrospective study, the 5-year LC rate in the heavy ion therapy group was significantly higher than 75%, whereas it was 32% in the photon therapy group. Compared to conventional photon therapy, heavy ion therapy significantly improved the local control rate and overall survival rate of ACC. A comprehensive review of the literature indicates that carbon ion therapy can be considered as one of the primary treatment methods for ACC.