Pancreatic Cancer Survivor’s Journey: Heavy Ion Therapy Lights the Way to Hope
Pancreatic Cancer Survivor’s Journey: Heavy Ion Therapy Lights the Way to Hope
Pancreatic cancer, dubbed the "king of cancers," is notoriously challenging due to its aggressive progression, early metastasis, and limited treatment options. However, recent advancements in domestically developed heavy ion therapy in China have significantly improved survival rates and quality of life for patients, offering new hope without severe side effects.

Mr. Pu, a 61-year-old man from Chengdu, was diagnosed in January 2024 with pancreatic cancer complicated by multiple liver metastases after experiencing upper abdominal pain. His CA19-9 level soared to 2,048 U/ml (a marker indicating disease severity), ruling out surgical intervention. Despite this devastating news, Mr. Pu and his family remained resilient, embarking on a nationwide quest for effective treatments. From January to November 2024, he underwent immunotherapy, chemotherapy, and cryoablation across major hospitals in Guangdong and Sichuan provinces. Yet, his condition worsened, with CA19-9 rising to 6,829 U/ml.

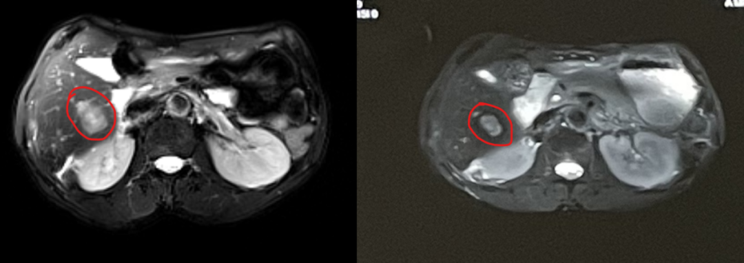
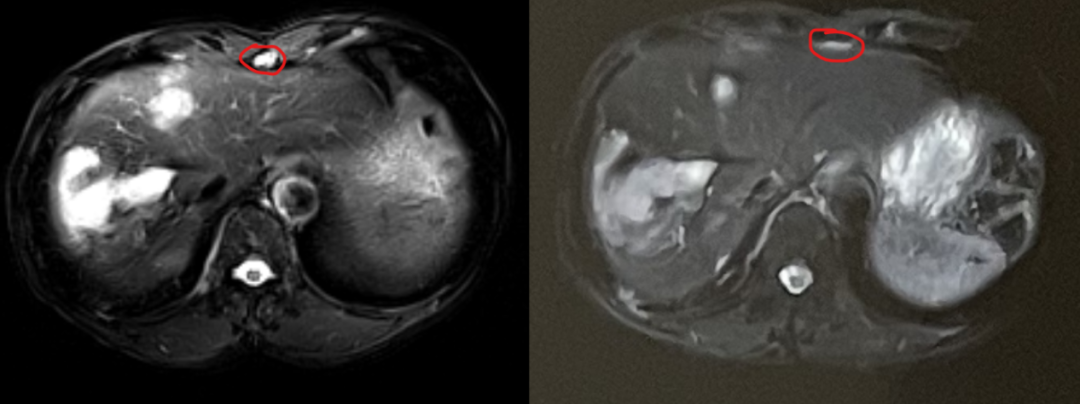
After exhausting conventional options, the family learned about heavy ion therapy’s efficacy in pancreatic cancer through patient communities. They consulted Dr. Chen Weizuo of Wuwei Heavy Ion Center (home to China’s first domestically developed heavy ion therapy system). Following a multidisciplinary expert panel review, Deputy Director Zhang Yanshan explained: "While Mr. Pu has developed resistance to first-line therapies, his high CPS expression suggests carbon ion therapy could enhance local tumor control and reshape the immune microenvironment, potentially re-sensitizing him to immunotherapy." Mr. Pu’s family chose to pursue treatment despite challenges. Over 15 sessions (60 Gy (RBE)/15 fractions for the liver, 58.5 Gy (RBE)/14 fractions for the pancreas), he experienced minimal side effects. Post-treatment, his CA19-9 dropped to 9,450 U/ml. A follow-up in February 2025 revealed further decline to 1,975 U/ml, with significant tumor shrinkage. Encouragingly, he qualified for a clinical trial targeting the KRAS G12D mutation, reigniting his fight.

Through mountains and rivers, a village emerges. In the battle against cancer, doctors and patients stand united, armed with cutting-edge tools like heavy ion therapy. Let us forge ahead with courage and hope.

(Imaging shown: Tumor regression post-carbon ion radiotherapy, left pre-treatment, right 1-month post-treatment.)



Introduction to the Department of Radiation Oncology VI
Specialty Department of Heavy Ion Therapy for Pancreatic Cancer, Department of Abdominal and Pelvic Tumor Treatment
● Department Overview
The Department of Radiation Oncology VI is a specialty department for carbon ion therapy of pancreatic cancer and a department for carbon ion therapy of abdominal and pelvic tumors. It mainly focuses on carbon ion therapy for pancreatic cancer, as well as heavy ion and photon radiotherapy for abdominal and pelvic tumors such as liver cancer, colorectal cancer, and prostate cancer. Since its opening, patients with pancreatic cancer from all over the country have come here attracted by its reputation. It can precisely kill pancreatic cancer cells in patients without pain, surgery, or damage. Dozens of patients with pancreatic cancer from all over the country have been treated successively. The local control rate at 1 year is as high as over 90%, and the median survival time has been increased from the traditional 11 months to 19 months. The clinical efficacy is definite, the patients have a good treatment experience, and the treatment effect has been fully recognized by well-known experts at home and abroad and the vast number of patients.
● Professional Team
All team members graduated from well-known medical colleges in China and have a solid foundation of medical theories and rich clinical practical experience. The department has specially invited experts such as Professor Haofei from Germany, Professor Hirohiko Tsuji from Japan, Professor Yee-Min Jen from the Taiwan region of China, and Professor Jia-Ming Wu to guide the work, conduct consultations on difficult cases, give academic lectures, and conduct ward rounds. The department staff have successively completed further studies and training in many well-known heavy ion and photon treatment centers in China and have rich experience in heavy ion treatment, being able to formulate scientific and reasonable treatment plans for patients.

● Treatment Scope
The department mainly focuses on heavy ion treatment of pancreatic cancer. At the same time, it carries out heavy ion and photon treatment for abdominal and pelvic tumors such as liver cancer, colorectal cancer, and prostate cancer, and can provide patients with professional radiotherapy and personalized comprehensive tumor treatment services.
Introduction to Department Experts:

Chen Weizuo
● Director of the the Department of Radiation Oncology VI, Heavy Ion Center, Gansu Wuwei Cancer Hospital,Deputy Chief Physician
● "Outstanding Young Talent of Longyuan" in Gansu Province
● Director of the Branch of Brachytherapy and Intelligent Radiotherapy of the Chinese Nuclear Society
● Committee Member of the Youth Branch of the Western Radiation Oncology Association
● Committee Member of the Branch of Ion Radiation Therapy of the Chinese Medical Equipment Association
● Committee Member of the IR Youth Committee of CRTOG (Chinese Research Group on Thoracic Oncology) in Radiotherapy and Immunotherapy
● Committee Member of the Youth Committee of the Gastric Cancer/Colorectal Cancer Professional Committee of the Anti-Cancer Association of Gansu Province
● Committee Member of the Radiotherapy Professional Committee of the Wuwei Medical Association
● He presided over 1 project of the Talent Training Program of "Light of the West" of the Chinese Academy of Sciences and 2 talent projects of "Innovation and Entrepreneurship of Young Talents in Longyuan" of the Organization Department of the Gansu Provincial Party Committee.
● He has published 11 SCI papers and 5 papers in Chinese core journals. He has 2 national invention patents and 3 utility model patents. The invention patents won the Gold Award of the "National Invention Exhibition".

Yin Zhaosheng
● Former Director of the Department of Tumor Radiotherapy, Affiliated Hospital of Xiangnan University, Hunan Province
● Standing Committee Member of the Oncology Professional Committee of the Chenzhou Medical Association
● Standing Committee Member of the Anti-Cancer Association of Chenzhou
● Committee Member of the Professional Committee of Tumor Radiotherapy and Radiotherapy Immunotherapy of the Hunan International Medical Exchange and Promotion Association
● Committee Member of the Professional Committee of Clinical Nutrition of the Hunan Medical Education Science and Technology Society
● He has been engaged in clinical tumor treatment for more than 18 years.
● He studied under Professor Yee-Min Jen, the former Chairman of the Radiotherapy Committee of Taiwan Province, China, and Professor Wang Jinzhu, an expert in medical management of Tzu Chi Hospital in Taiwan Province, China.
● Visiting Scholar at Tri-Service General Hospital and Chang Gung Memorial Hospital in Taiwan Province
● He is good at precise tumor radiotherapy, stereotactic radiotherapy, especially the comprehensive treatment of head and neck tumors.
● He has successively studied in advanced studies in major medical centers such as Zhongshan Hospital affiliated to Fudan University in Shanghai, Cancer Hospital affiliated to Sun Yat-sen University in Guangdong Province, Tri-Service General Hospital, and Chang Gung Memorial Hospital in Taiwan Province for many times.
● He has published 4 SCI papers and 2 papers in national core journals and participated in a number of research projects in Hunan Province.

Scan the QR code and follow us.