Targeted therapy works wonders, Lung cancer metastasis fading away
Targeted therapy works wonders, Lung cancer metastasis fading away
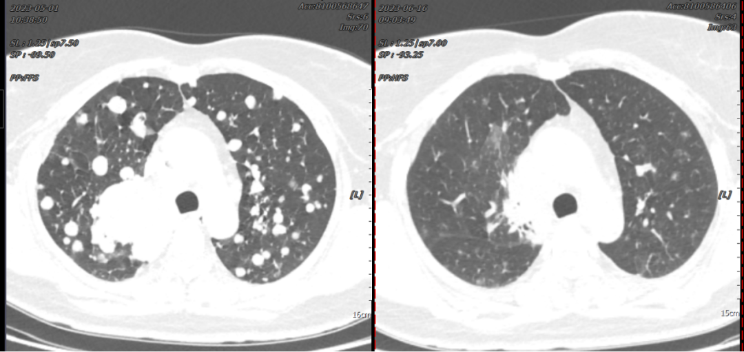
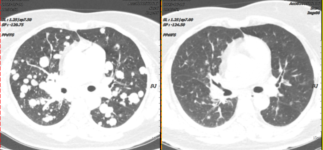
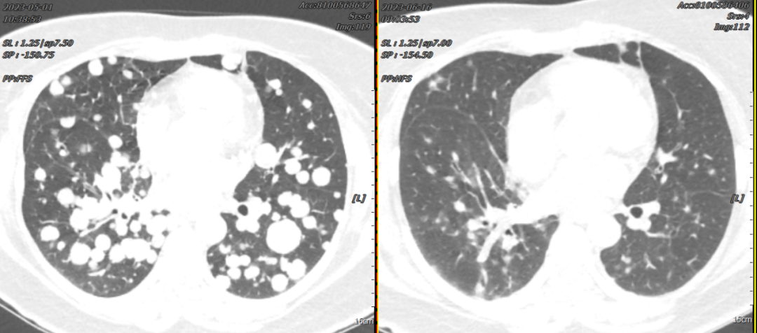
Case 1
Patient Song XX, female, 41 years old, presented with cough, expectoration, accompanied by chest tightness and shortness of breath. In May 2023, a chest CT scan performed at our hospital revealed a mass near the hilum of the right upper lobe with diffuse multiple nodules distributed in both lungs, stenosis and occlusion of the right upper lobe bronchus, and encasement of the right upper pulmonary artery and brachiocephalic veins, suggesting right lung cancer with bilateral lung metastases. Subsequently, a CT-guided lung biopsy was performed, and pathological examination confirmed right lung invasive adenocarcinoma. Genetic testing showed an EGFR-19Del mutation. The diagnosis was "right lung adenocarcinoma, driver gene-positive (EGFR-19Del mutation)." After oral targeted therapy, the patient's cough, chest tightness, and shortness of breath significantly improved. A follow-up chest CT one month later showed significant shrinkage of the lung lesions, with most tumors gradually disappearing. The clinical efficacy was evaluated as PR (Partial Response).



Case 2
Patient Yan, male, 52 years old, presented with cough, expectoration, and discomfort in the left shoulder and upper limb. An enhanced chest CT performed at an external hospital revealed a nodule in the apical segment of the right lung. A biopsy of the mass in the apical-posterior segment of the right upper lobe was performed under thoracoscopy. Postoperative pathological diagnosis confirmed (lesion in the apical segment of the right upper lobe) invasive lung cancer. The patient subsequently sought treatment at our hospital. An enhanced cranial MRI performed in our department indicated brain metastatic carcinoma, and a whole-body ECT scan revealed multiple bone metastases. Combined genetic testing for lung cancer detected an L858R mutation. After oral targeted therapy, the patient's symptoms of cough, expectoration, and pain significantly improved. A follow-up chest CT showed a marked reduction in the tumor size in the right upper lobe, with a clinical efficacy evaluation of PR.

1. What is targeted therapy for lung cancer?
Targeted therapy, as the name suggests, focuses on specific targets (unique genetic changes in lung cancer cells) on tumor cells. It is a cancer treatment method that uses drugs designed to "target" cancer cells while minimizing harm to normal cells. The goal is to identify and attack specific areas or substances within cancer cells or to detect and block specific signals that instruct cancer cells to grow.


2.Why do cancer patients need genetic testing?
Cancer is fundamentally a genetic disease. Normal cells are regulated by the body, but when exposed to carcinogens, genetic mutations can cause cells to proliferate uncontrollably, forming tumors. Driver genes determine tumor cell growth, and different types of lung cancer involve different driver genes. Identifying the mutated gene allows for precise targeted therapy—using specific drugs to inhibit tumor growth or eliminate cancer cells—thereby improving survival time and quality of life.
3. How is genetic testing performed?
Genetic testing for lung cancer prioritizes tumor tissue samples obtained via biopsy. If tissue is unavailable, liquid biopsy(using blood or body fluids like pleural or peritoneal effusions) offers a minimally invasive alternative. This method is convenient, reduces patient discomfort, and provides critical data to guide personalized treatment plans.
4. What are the advantages of targeted therapy drugs for lung cancer?
Unlike traditional cytotoxic chemotherapy, lung cancer targeted drugs often rapidly alleviate symptoms. Molecularly targeted agents selectively kill tumor cells with minimal damage to normal cells, resulting in fewer side effects (e.g., reduced gastrointestinal reactions and hematologic toxicity). Patients typically tolerate these drugs well, leading to better quality of life. Additionally, many targeted drugs are orally administered, enabling outpatient or home-based treatment and enhancing convenience
In the era of precision medicine, genetic testing enables accurate diagnosis and effective treatment. Multi-gene panel testing is now the standard in lung cancer care, tailoring therapies to individual patients to maximize survival, improve quality of life, and reduce treatment burden

Department Introduction
The Second Department of Respiratory and Critical Care Medicine at Gansu Wuwei Cancer Hospital is a provincial-level key discipline integrating clinical practice, education, and research. Designated as a nationally certified PCCM (Pulmonary and Critical Care Medicine) tertiary hospital, it also serves as an Early Diagnosis and Treatment Center for Lung Cancer and an Early Diagnosis and Treatment Center for Pulmonary Nodules under the China Lung Cancer Alliance.
Department Features
The department boasts a professional team composed of experienced physicians, nurses, and technicians, possessing profound expertise and skills in the diagnosis and treatment of lung cancer. By adopting the Multidisciplinary Team (MDT) consultation model, we provide every patient with a comprehensive evaluation and standardized treatment plan.
Advanced Diagnostic Techniques: The department has adopted painless electronic bronchoscopy biopsy technology, enabling precise sampling of suspicious tumors within the trachea and bronchi in a safe and comfortable environment for patients. It is the first in Wuwei City to utilize Endobronchial Ultrasound (EBUS) technology, allowing for precise needle biopsies of lymph nodes in the mediastinal and hilar regions under real-time ultrasound guidance. For tumors located deep within the lungs or near vital organs, CT-guided needle biopsy provides high-precision localization, ensuring the safety and effectiveness of the procedure. The department emphasizes the molecular diagnosis and genetic testing of lung cancer. Through comprehensive genetic analysis of tumor tissues, we identify tumor driver genes to provide patients with personalized treatment plans.
Comprehensive Treatment Measures:The department develops individualized treatment plans based on each patient's specific condition. Targeted therapy is a key feature, utilizing specialized drugs to block the signaling pathways of tumor growth directed at specific molecular targets. Based on precise immune profiling, we select the optimal immunotherapy drugs, offering new therapeutic hope to patients. Furthermore, we employ advanced and clinically proven biological immunotherapy (likely referring to adoptive cell therapy like CAR-T/TIL/etc.). This involves collecting peripheral blood mononuclear cells (PBMC) from the patient, which are then cultured and expanded ex vivo to generate effector immune cells capable of recognizing and eliminating tumor cells. These activated cells are then reinfused into the patient to eradicate minimal residual disease, effectively preventing tumor recurrence and metastasis. Simultaneously, based on the pathological characteristics of the patient's tumor, the department selects the most appropriate chemotherapy drugs to maximize therapeutic efficacy. For patients who are ineligible for surgery or decline it, the department offers various interventional therapies, such as endobronchial treatments, radiofrequency ablation (RFA), microwave ablation (MWA), and tumor embolization, often in combination with systemic treatment regimens. This integrated approach effectively controls tumor growth, alleviates patient symptoms, improves quality of life, and prolongs survival.
In Dept. II of Respiratory and Critical Care Medicine, we are committed to providing the highest quality diagnostic and therapeutic services to every lung cancer patient, helping them overcome their illness and rebuild their lives.
Contact Us
Contact Numbers:
Inpatient Department: 0935-6988606
Outpatient Department: 0935-6989262
Address:
Room 416, 4th Floor, Outpatient Building; Inpatient Building 5th Floor, Main Campus of Gansu Wuwei Academy of Medcial and Science
Attending Physician (Department Head) Xi Caixia: +86 18793598580
Attending Physician (Medical Team Leader) Tao Wenxue: +86 15095632720
Attending Physician (Medical Team Leader) Liu Xuemei: +86 13893522577
