A Case Report: Carbon Ion Therapy for Massive Liver Cancer
Carbon Compassion in Crisis: A Liver's New 'Ion' Hope
——A Case Report of Massive Hepatocellular Carcinoma Treated with Carbon Ion Radiotherapy
December 16, 2020, marked a hectic and critical day for Mr. Du. Burdened by year-end workloads, he had been working late into the night for days, skipping regular meals, which exacerbated his worsening "chronic malnutrition." Recalling the incident, Mr. Du vividly described: "A sudden onset of abdominal pain forced me to pause work, but the pain intensified relentlessly, leaving me restless. When I tried to stand up for water, everything went dark, and I collapsed." He was rushed to a hospital in Beijing, where diagnostic imaging revealed 18-cm hepatic mass causing intraperitoneal hemorrhage.
Mr. Du, upon regaining consciousness post-surgery, was incredulous to learn that his recent months of abdominal distension were not merely "indigestion," but rather the result of rampant cancer cell proliferation in his liver. Examination revealed that half of Mr. Du's liver had been occupied by a tumor, diagnosed as giant hepatocellular carcinoma. Due to the tumor's size and involvement of critical blood vessels, surgical resection criteria were not met. Subsequent treatment will involve systemic antitumor chemotherapy or localized radiotherapy.
"Confusion, fear, anxiety... these emotions swirled through my mind, plunging me into anguish and despair," recounted Mr. Du. With unwavering family support, he embarked on his anti-cancer journey, seeking consultations across multiple hospitals. From January 2021 to November 2022, he endured over 10 cycles of systemic chemotherapy—each session an excruciating physical and psychological ordeal—yet he persisted relentlessly. When follow-up scans in July 2023 revealed disease progression with enlargement of the hepatic mass, the two years of grueling treatments had left him physically and emotionally depleted. The lingering trauma from chemotherapy side effects overwhelmed him, driving him to contemplate abandoning treatment.
At this critical juncture, a fellow patient's recommendation led Mr. Du to discover the team of Prof. Wang Junjie, Chief Physician at Lanzhou Heavy Ion Hospital. Through peer connections, he consulted with Director Li Xiaojun of the Carbon Ion Radiotherapy Group, who provided detailed online guidance on subsequent treatment protocols. Determined to pursue this final beacon of hope, Mr. Du resolved to travel northwest despite having only 600 mL of functional liver parenchyma remaining—a condition rendering conventional radiotherapy prohibitively risky due to >70% mortality risk from acute radiation-induced hepatitis. Viewing heavy ion therapy as his last therapeutic lifeline, Mr. Du courageously opted for this innovative modality. In August 2023, he journeyed from Shanxi to Gansu Province. Following a multidisciplinary team (MDT) consultation at the Heavy Ion Center, clinicians confirmed his eligibility for carbon ion radiotherapy. Director Li Xiaojun's team meticulously optimized treatment parameters: customized positioning protocols, respiratory motion compensation, beam angle optimization. This precision planning achieved maximal hepatic parenchymal sparing during dose distribution evaluation. Mr. Du completed 18 fractions of hepatocellular carcinoma-targeted carbon ion therapy, supplemented with concurrent immunotherapy and targeted agents. Throughout treatment, President Wang Junjie's team implemented rigorous hepatic function monitoring and nutritional interventions. Remarkably, Mr. Du experienced no significant radiation toxicity, with progressive clinical improvement documented. In his own words: "Like spring shoots emerging from withered wood, this breakthrough technology revived my hope."
Following discharge, Mr. Du underwent hospital-based re-evaluations every three months as medically advised. Remarkably, imaging surveillance demonstrated progressive shrinkage of his hepatic mass, with near-complete radiological resolution observed at the 6-month post-carbon ion therapy interval. Notably, regenerating hepatic parenchyma was identified in previously involved zones—a phenomenon likened by his family to "spring sunshine dissolving winter's gloom," symbolizing their renewed hope.
Now fully reintegrated into societal functioning, when reflecting on this cutting-edge therapy, Mr. Du emotionally stated: "Defying all prognostic expectations, carbon ion therapy has granted me a biological renaissance—it's nothing short of a second genesis."
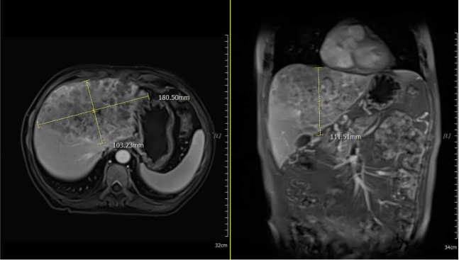
Baseline imaging at initial diagnosis

Carbon Ion Radiotherapy: Beam Direction and Dose Distribution

First Course Plan:
Patient Position: Supine position.
Lesion Characteristics: Diffuse lesions within the liver parenchyma, delineated using 4D-CT (four-dimensional computed tomography) with multiple respiratory phases to account for tumor motion.
Target Volumes:
Liver-PTV (Planning Target Volume): Approximately 606 mL.
PTVboost: 32 Gy(RBE)/8 fractions (fx), followed by 4 Gy(RBE)/fx

Second Course Plan:
Patient Position: Left lateral decubitus position.
Lesion Characteristics: Diffuse lesions within the liver parenchyma, with a Liver-PTV (Planning Target Volume) of approximately 606 mL.
OAR Constraints: Maintain an 8-mm margin away from the gastrointestinal tract to minimize radiation exposure.
Dose Prescription:
PTV40Gy(RBE): 40 Gy (relative biological effectiveness) delivered in 10 fractions (fx).
Boost Dose: 4 Gy(RBE)/fx.
Efficacy comparison
Primary liver cancer is predominantly hepatocellular carcinoma (HCC), with tumors larger than 10 cm referred to as giant hepatocellular carcinoma. Due to their large volume, these tumors are prone to vascular invasion and extrahepatic metastasis, making surgical resection highly challenging and risky. Conventional chemotherapy has limited efficacy, and standard photon radiotherapy often leads to radiation-induced hepatitis. Carbon ion therapy (also known as heavy ion therapy) offers unique physical and biological advantages, precisely targeting tumors with carbon ion beams. It is indicated for patients with inoperable intrahepatic HCC, those with portal vein or inferior vena cava tumor thrombus, lymph node metastasis, adrenal/bone metastasis, and intrahepatic cholangiocarcinoma. Compared to traditional radiotherapy, carbon ion therapy provides better local control, minimizes damage to surrounding tissues, preserves liver function, and allows for liver regeneration post-treatment, featuring high precision, fewer side effects, and shorter treatment duration.
The Lanzhou Branch of the Heavy Ion Center at Wuwei Cancer Hospital in Gansu Province has treated over 100 HCC patients with carbon ions, accumulating extensive experience. On November 22, 2024, the Lanzhou center commenced operations, initiating integrated management with the Wuwei center and promising more efficient, high-quality cancer care for patients.
Professor Junjie Wang's Clinical Research Team
Lanzhou Heavy Ion Center

Wang Junjie
Chief Physician, Professor
Currently serves as Director of the Department of Radiation Oncology at Peking University Third Hospital, Doctoral Supervisor, Director of the Brachytherapy Center at Peking University Health Science Center, and Deputy Director of the Department of Radiation Oncology at Peking University.
Chairman of the 10th Committee of the Society of Radiation Oncology, Chinese Medical Association.
Inaugural Chairman of the Brachytherapy and Intelligent Radiotherapy Society of the Chinese Nuclear Society.
Vice Chairman of the Minimally Invasive Therapy Committee of the Chinese Anti-Cancer Association.
Chairman of the Radioactive Particle Ablation Technology Committee of the National Strategic Alliance for Technological Innovation in Tumor Minimally Invasive Therapy Industry.
Associate Editor-in-Chief of the Chinese Journal of Radiological Medicine and Protection.
Editorial Board Member of the American journal Brachytherapy.