Remarkable Case of Giant Synovial Sarcoma Treated with Heavy Ion Therapy: A Clinical Showcase
Remarkable Case of Giant Synovial Sarcoma Treated with Heavy Ion Therapy: A Clinical Showcase
Medical History of Ms. LQ (34-year-old, Hebei Province)
Initial Presentation (May 2022):
• Chief complaint: Chest tightness and shortness of breath
• Imaging findings: Multiple left pleural nodules (largest: 3.2×2.1 cm) on chest CT at Tianjin Cancer Hospital
• Pathological confirmation:
- Ultrasound-guided biopsy: Synovial sarcoma
- IHC: Ki-67 40%+
- Molecular studies: SS18-SSX1 fusion positive
- NGS: TMB 1.99 muts/Mb; MSS; no actionable mutations
Treatment Course:
1.First-line (May-July 2022):
- Anlotinib (oral) for 2 months
- Complications:
• Pleural effusion (hemorrhagic suspected)
• Left lung atelectasis
• No improvement after drainage/antibiotics
2.Surgical intervention (Sep 2022):
- VATS left upper lobectomy + empyema decortication + pleurodesis (PLAGH)
- Adjuvant: Tislelizumab (disease progression)
3.Clinical Trial #1 (Feb-Jun 2023):
- Sintilimab ×4 cycles
- Progressive disease:
• CT (Jun 2023): Coalescing pleural masses (15.5×7.3 cm)
4.Clinical Trial #2 (Jun 2023):
- CAN1012 intratumoral injection (Phase I)
- Treatment failure
- PET-CT findings:
• Left pleural mass: 12.6×10 cm
• SUVmax 18.4
5.Heavy Ion Therapy (Wuwei Center, from Jul 2023):
- Combined with sintilimab ×2 cycles
- Treatment response:
• Session #9: >50% reduction (10→4.1 cm)
• Final evaluation: PR (RECIST 1.1) - Toxicity profile:
• Grade 1 radiation dermatitis
• Grade 1 esophagitis
• Transient nausea/fatigue (CTCAE v5)


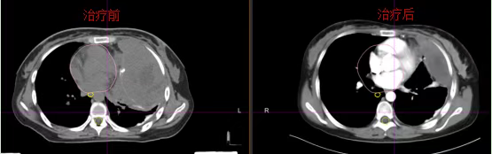
Mediastinal window findings:
Pre-treatment: The tumor occupied the entire left thoracic cavity, demonstrating significant mass effect with marked cardiac compression.
Post-treatment: The left lung showed re-expansion, with near-complete tumor regression and restoration of normal cardiac positioning.

Lung window findings:
Pre-treatment: Significant compression and atelectasis of the left lung were observed.
Post-treatment: The left lung demonstrated complete re-expansion without evidence of pneumonitis or persistent atelectasis.

Treatment Outcomes:
Pre-treatment: The massive tumor caused significant compression, displacing the heart and esophagus to the right.
Post-treatment: Marked tumor regression was achieved with complete decompression, allowing restoration of normal cardiac and esophageal positioning. The patient's symptoms of chest tightness and dyspnea significantly improved.
Clinical Course:
This young mother had progressive disease despite multiple pharmacologic interventions since initial diagnosis in May 2022 (tumor size: 3.2×2.1 cm). The tumor demonstrated continuous growth, reaching 12.6×10 cm by August 2023. Remarkably, dramatic tumor shrinkage occurred within just one month of treatment.
Follow-up:
Ms. Liu was discharged on August 31 and has returned home. We remain hopeful for continued positive outcomes in her subsequent follow-ups.