[Classic Case 3 from the Department of Medical Oncology] Patients with Advanced Gastric Cancer Can Still Smile Through Life
Latest statistics show that gastric cancer has a high global incidence, ranking 5th among malignant tumors. In China, both its incidence and mortality rates rank 3rd among malignant tumors—far exceeding the global average. Most patients are diagnosed at the middle or advanced stage when seeking care, resulting in short survival and poor prognosis. However, some patients achieve long-term survival through standardized treatment.
Case Presentation
Dong presented to a sister hospital (another local medical institution) in November 2017 due to "intermittent upper abdominal distension/pain, anorexia, fatigue, and melena." Esophagogastroduodenoscopy (EGD) combined with pathological biopsy confirmed gastric body adenocarcinoma.
After multidisciplinary consultation, the patient was referred to our Department of Medical Oncology. Comprehensive evaluations—including imaging and laboratory tests—revealed a diagnosis of gastric cancer (ulcerative-infiltrative type) with:
•Multiple abdominal lymph node metastases (largest: 5.3 × 2.3 cm);
•Multiple liver metastases (largest: 3.3 × 3.8 cm).
- Wang Huijuan, Chief Physician and Head of our department, determined that surgical resection was not feasible. An individualized chemotherapy regimen was formulated. Notably, upper abdominal symptoms resolved completely after the first cycle.
- Efficacy assessment at Cycle 2: PR (Partial Response)—mild thickening of gastric body/antral walls, with shrinkage of gastrohepatic lymph nodes and liver metastases. However, the patient developed severe myelosuppression post-treatment. The regimen was subsequently adjusted gradually.
- Efficacy at Cycles 4 and 6: SD (Stable Disease). Thereafter, the patient received intermittent capecitabine monotherapy for maintenance, lasting over 1 year, with no significant adverse events.
- On April 10, 2019, restaging confirmed CR (Complete Response): liver metastases had disappeared, and EGD showed no residual carcinomatous lesions in the stomach.
- From then until February 23, 2023, the patient underwent regular follow-up every 6 months. Results consistently showed stable disease with no detectable tumor recurrence. The patient maintained excellent mental status, continued daily farm work without impairment, and became a source of hope for their family.
Treatment Course





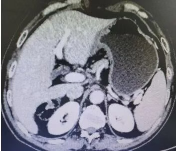
Gastroscopy on November 7, 2017









Abdominal CT films (2 sheets) on August 13, 2019


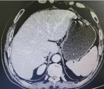
Abdominal CT films (2 sheets) on March 3, 2020



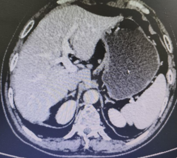
Abdominal CT films (2 sheets) on February 23, 2023
The patient was diagnosed with advanced gastric cancer. Through standardized chemotherapy, good compliance, and an optimistic attitude, their survival period has exceeded 5 years. Currently, their physical condition is favorable, and they have achieved clinical cure of the tumor—far exceeding the expectations of both the medical team and the patient.
According to the 2020 statistics on Gastric Cancer (GC), globally, gastric cancer ranks 5th among malignant tumors in terms of incidence, with 1.089 million new cases, and 4th in mortality, with 769,000 new deaths. In China, gastric cancer ranked 3rd in incidence in 2020, with 479,000 new cases, and 3rd in mortality, with 374,000 deaths, at a mortality rate of 15.9 per 100,000—significantly higher than the global average. Moreover, gastric cancer is often diagnosed at an advanced stage when symptoms appear.
The development of gastric cancer results from multiple combined factors. The most common causes include Helicobacter pylori infection; lifestyle factors such as excessive consumption of grilled and charred animal meat, high salt intake, salt-preserved or smoked foods, smoking, and alcohol use; precancerous diseases and precancerous lesions; genetic factors; and environmental and dietary factors.
Most patients with early-stage gastric cancer are asymptomatic, while a few may experience mild discomfort such as abdominal distension and indigestion, which often go unheeded. Advanced-stage gastric cancer may manifest as epigastric pain, weight loss, anemia, fatigue, anorexia, weight reduction, or gastrointestinal bleeding. In the terminal stage, patients may present with severe emaciation, resembling "skin and bones," known as cachexia. Pathological diagnosis via endoscopic biopsy is the gold standard.
Treatment approaches: Surgery is the only potential method for radical cure in gastric cancer patients, with early-stage patients achieving cure post-surgery. For advanced-stage patients, comprehensive treatment centered on surgical resection—combined with perioperative chemotherapy, radiotherapy, targeted therapy, and immunotherapy—is employed, aiming to prolong survival and improve quality of life.
Gastric cancer primarily spreads via lymphatic metastasis, with 70% of advanced cases involving lymph node metastasis. Hematogenous metastasis is another route, most commonly to the liver. Peritoneal implantation metastasis often presents as massive ascites.
Prognosis: Gastric cancer prognosis is closely tied to staging. Early-stage patients have higher cure rates. However, most cases are detected at advanced stages or with distant metastasis, and advanced-stage patients have a poor prognosis, with a 5-year survival rate below 10%.
We hope more people will understand tumor-related knowledge, adopt healthy lifestyles and dietary habits—avoiding staying up late and alcohol, controlling red meat (e.g., beef, mutton, pork) intake and replacing it with white meat (e.g., chicken, duck, fish), limiting pickled foods and salt, avoiding leftovers, and preferring fresh foods. Prioritizing prevention, undergoing regular check-ups, and achieving early detection, diagnosis, and treatment are key to maintaining health and well-being.
Introduction to the Chemotherapy Department
The Chemotherapy Department of Wuwei Cancer Hospital, Gansu Province, was established in February 2009. Currently, it has 46 beds. Led by Chief Physician Wang Huijuan, Head of the Department, the department comprises 7 physicians: 1 Chief Physician, 1 Deputy Chief Physician, 2 senior attending physicians, and 3 resident physicians. The department has long-term employed Professor Zhao Da, Chief Expert of the Department of Medical Oncology at the First Hospital of Lanzhou University and Vice President, as an external expert, who regularly conducts ward rounds and academic exchanges.
Annually, the department treats over 1,200 oncology patients requiring chemotherapy, making it the oncology department with the largest caseload and most standardized treatment protocols in the Hexi region. In 2013, it was designated as one of the first batch of "Demonstration Wards for Standardized Cancer Pain Management" by the Gansu Provincial Health Department. In 2017, the team it sent won first prize in the "Gansu Provincial Standardized Cancer Pain Treatment Skills Competition." The same year, it became a member unit of the "Gansu Lung Cancer Prevention and Treatment Alliance." In 2018, it joined the "Lanzhou University Comprehensive Cancer Treatment Specialized Alliance," and its team won third prize in the "2019 Gansu Lung Cancer MDT Competition." In 2021, it was recognized as a "Key Discipline of Wuwei City." In July 2022, it became a sub-center of the "Gansu Provincial Clinical Medical Research Center for Thoracic Oncology."
Current technical capabilities include: diagnosis of various solid tumors and lymphomas; neoadjuvant chemotherapy, postoperative adjuvant chemotherapy, palliative chemotherapy, and local drug perfusion chemotherapy; endocrine therapy; molecular targeted therapy for tumors; immune checkpoint inhibitor therapy for tumors; and cellular immunotherapies such as CIK and NK cell therapy. The department undertakes and participates in multiple drug clinical trials, with a strong track record of successful trial completion, delivering significant benefits to patients.

Contact Us
Consultation Telephone: 0935-6988068, 0935-6988063
Medical Service Address: Chemotherapy Department, Heavy Ion Hospital, Wuwei Academy of Medical Sciences (2nd Floor, Rehabilitation Building)
Preliminary Review: Zhang Jie
Final Review:Ma Shuqian